
Why do I have a Toothache?
Most of us have experienced a toothache before. In most cases, toothaches go away on their own, but once in a while they don’t. Sometimes

Stroke Signs You Should Know
My hygienist asks me to evaluate an 86-year old patient who is having difficulty speaking. The word stroke flashes before my eyes. His age, history

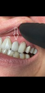
What Are Dental Implants?
There are many ways to replace lost teeth these days. In most cases, nothing provides a better result than dental implants. They look, feel, and

Should I Get A Second Opinion?
Patients frequently come to me seeking a second opinion. Likewise, many of my patients seek second opinions from other dentists. As an oral healthcare provider,

Post, Core, and Crown
As a dentist, few things are more unnerving than an emergency patient with a missing front tooth or crown. A few weeks ago we had

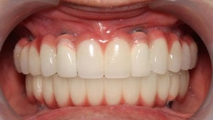
What Are Implant Overdentures?
Dentures have never been an ideal solution to the problem of missing teeth. Although they date back to ancient Egypt, dentures have always been a