
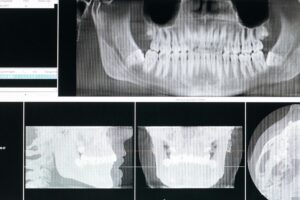
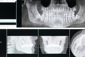
CBCT in Dentistry: Safety and Benefits
Learn about the safety and benefits of CBCT imaging in dentistry, including what it shows and important radiation considerations in Glendale, AZ.
Preventing Nerve Injury in Oral Surgery
Discover effective strategies for preventing nerve injuries during oral surgery in Glendale, AZ, and learn how we prioritize patient safety.

Biologic Width (Really STA): Why It Matters
Learn why respecting biologic width and supracrestal tissue attachment is crucial for preventing chronic inflammation in restorative dentistry in Glendale, AZ.

Does a Microscope Change Endo Outcomes?
Explore the value of using a microscope in endodontics versus loupes, and how this affects outcomes at our Glendale, AZ practice.

Ozone in Dentistry: Evidence Over Hype
Discover the current evidence and limitations of ozone therapy in dentistry with insights from Dr. Richard Dawson, serving Glendale, AZ.
Airway-Friendly Orthodontics: The Big Picture
Explore how airway-friendly orthodontics in Glendale, AZ, focuses on health and function rather than just cosmetic straightening for better outcomes.