
Two-Stage Implant Placement
February 21, 2022
No Comments
We recently documented a two-stage implant placement to share here on the blog. I previously shared one of my one-stage implant cases. If you don’t

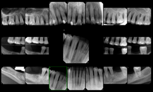
What is an FMX?
February 14, 2022
No Comments
Patients are often curious about the kinds of x-rays we take, and how we use them. FMX, pano, PA, bitewing, ceph, CBCT, these are various

One-Stage Implant Placement
February 8, 2022
No Comments
Last week one of our young female patients came to see us. She was in a lot of pain and complained of a broken tooth.

Should I Get Dental Implants?
January 31, 2022
No Comments
So, you’ve lost a tooth, and your dentist suggested a dental implant. Or, maybe you wear dentures, and your dentist recommended implants to keep your