Common Questions
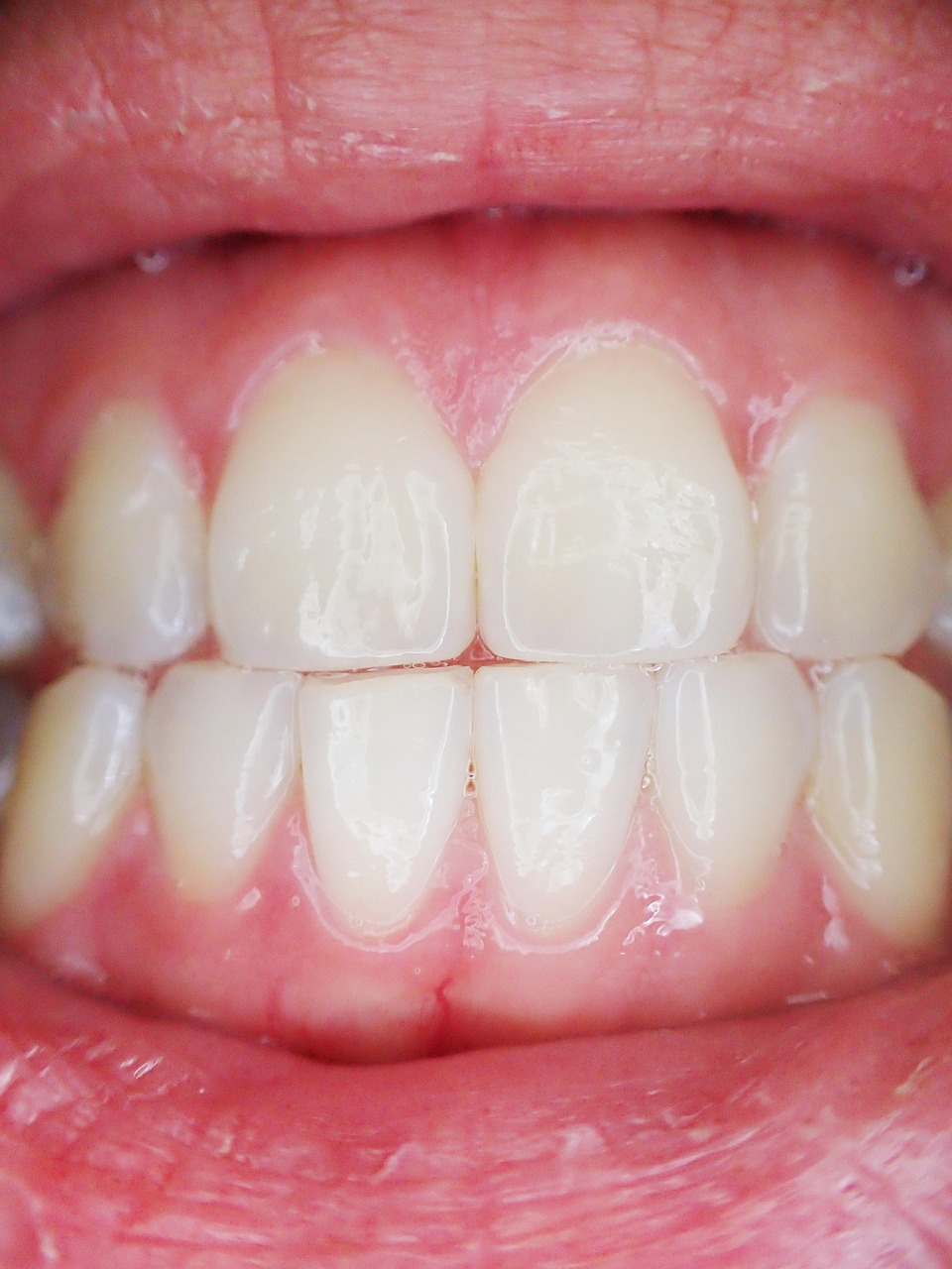
Both tools can work well. When it comes to water flosser vs string floss, the best choice is the one you will use every day. String floss wipes plaque from tight contact points, while water flossers are gentler for many people and helpful around braces, bridges, and implants. Daily use with proper brushing matters more than the gadget itself.
You might wonder at the sink which tool to grab tonight. String floss uses a sliding and “C-shape” motion to scrub the sides of teeth. This direct contact can be very effective in tight spaces. Water flossers use a pulsating stream to flush food and disrupt plaque along the gumline and between teeth. If your contacts are very tight or you have bonded contacts, floss may reach better; if your gums are tender or you have orthodontic appliances, a water flosser may be easier to use.
- Can a water flosser replace floss? Often yes for daily cleaning, but floss can still help in very tight traps.
- Is it safe with braces, implants, or bridges? Yes, it can clean around hardware where string is hard to thread.
- What setting should I use? Start low, trace the gumline slowly, and increase only if comfortable.
- What if my gums bleed? Light bleeding early can be normal; if it continues after a week, schedule a check.
- Does either prevent cavities? Interdental cleaning reduces plaque between teeth, especially with fluoride toothpaste.
- Should I use both? Some people do, using a water flosser most days and floss for tight spots.
Consistency is the key. Choose the method that fits your hands, your dental work, and your routine. If you have gum disease, dexterity limits, or complex restorations, ask at your next cleaning which approach suits you best. The right tool is the one that keeps your gums calm and your contacts clean.
Benefits of Water Flossers
Water flossers clean between teeth and along the gumline with a focused stream of water. Many people find them comfortable, quick, and easy to use. With regular use, they can reduce gum bleeding and tenderness. They also help you reach back teeth without awkward hand positions.
Picture this: after a popcorn snack, a 60-second sweep clears a trapped husk. The pulsing water breaks up soft plaque and rinses food from tight spaces, including just under the edge where the gum meets the tooth. In patients wearing fixed braces, a randomized clinical trial reported improved gum health measures when a water jet flosser was used as part of daily care [1]. If you are in active tooth movement, learn more about caring for teeth during orthodontic treatment with our clear aligner and braces information.
Water flossers are less technique sensitive than thread, so they can be helpful if you have arthritis, limited finger mobility, or a strong gag reflex. The steady flow is gentle, which many people with sensitive gums prefer. They also navigate around joined teeth and under bridgework without threading. For patients with long-span restorations, see our tips on keeping crowns and bridges clean.
From a daily routine standpoint, convenience matters. Most users can cover the whole mouth in about a minute, which supports consistency. Start at a low setting, trace the gumline slowly, and pause between teeth until you feel confident. In the water flosser vs string floss question, consider what you will do thoroughly, every day. Comfort that fits your hands usually leads to better habits.
Benefits of String Floss
String floss shines because it wipes plaque off the exact spots where teeth touch. You control the pressure and angle, so you can clean precisely without extra devices. It is small, portable, and needs no charging. In the water flosser vs string floss decision, many people value this simple, direct contact.
At the sink before work, you feel a seed wedged tight. With string, you can slide through the contact, wrap around the tooth, and wipe the full side wall from the gumline up. This scrubbing action disturbs sticky biofilm that a rinse might leave behind. Gentle movement just under the gum edge also helps remove soft plaque from the shallow groove where gums meet teeth. Because you guide the floss, it can reach narrow contacts and curves that require a firm sweeping motion to get truly clean.
String floss also gives useful feedback. If the floss shreds or catches, it can signal a rough filling edge or tartar that deserves a closer look. If you notice bleeding at a specific spot, you can target that area more carefully at home and ask about it at your next visit. Floss holders and pre-threaded options make the same technique easier if your fingers are large or your reach is limited. Threaders allow standard floss to pass under fixed retainers and bridges so the sides of those teeth can still be wiped clean.
For many, the biggest advantage is consistency. String floss fits in a pocket or travel kit, so it is easy to use daily. If you prefer to feel the floss glide cleanly through each contact, this tool rewards careful habits with clear results. Choose the method that helps you clean every side of every tooth, every day. Simple tools used well make a lasting difference.
When to Use Water Flossers
Choose a water flosser when string floss is difficult, uncomfortable, or slow for you. It is especially useful around braces, bridges, implants, and areas that trap food. The water stream can lower gum bleeding and flush debris along the gumline. If a contact is very tight or rough, add string or another tool when needed.
Think of a quick rinse after corn on the cob. Pulsed irrigation sweeps along the gum edge, breaks up soft plaque, and clears food from spaces where thread is hard to guide. In short clinical trials, daily water flossing has shown reductions in gingival bleeding over a few weeks, which many patients feel as less tenderness at the sink [2]. A systematic review in adults also supports that water flossers can reduce interproximal plaque compared with baseline, though study methods vary [3].
If your fingers are large, your reach is limited, or you have a strong gag reflex, a water flosser can make daily cleaning more consistent. It is also practical around fixed retainers and under long-span bridgework where threading floss is slow. For patients with implant-supported restorations, it can help rinse under the bar or attachments; see our guidance on cleaning around implant-supported dentures. Start on a low setting, trace the gumline, and pause briefly between teeth for a thorough pass.
Use string when you need direct scraping through a tight contact, and use a water flosser when you need gentle, thorough rinsing along the gums. Many people do best by choosing the tool they will use well every day. In the water flosser vs string floss question, comfort and consistency usually decide success. Clean the sides of every tooth, every day.
When to Choose String Floss
Choose string floss when you need direct contact to scrape plaque from tight tooth contacts. It lets you wrap around each tooth, control pressure, and clean the full side wall from the gumline up. If you often feel something wedged between two teeth, string floss usually reaches best. In the water flosser vs string floss question, pick string when precision matters most.
Picture this: after chewy caramel, one spot still feels stuck. String floss can slide through a tight contact, form a gentle “C” around the tooth, and wipe sticky biofilm that a rinse might miss. Because you guide it, you can sweep just under the gum edge without excess force. This is helpful where the gum dips slightly between teeth, a common place for early bleeding. Careful, controlled strokes let you target a single area without irritating nearby tissues.
String floss also gives useful feedback about dental work. If the strand frays or catches every time in one place, it may signal a rough filling edge, extra cement, or early tartar that deserves a check. After a new filling or a repaired chip, flossing that contact confirms it is smooth and passable. If you are curious how small chips are repaired, see our notes on conservative repairs with dental bonding.
There are practical times string wins on control. Very tight natural contacts, bonded contacts, and areas next to small overhangs clean better when you can hug the tooth and wipe. For patients with new veneers, using floss slowly and gently helps keep the margins clean as you settle into your routine; learn more about caring for smooth margins with our porcelain veneers overview. If reach is tough, floss holders or threaders can make the same technique easier without adding bulk to the sink.
Use a light seesaw to enter, avoid snapping, then wrap and wipe up and down on each side. Many people still combine tools, using floss for the tightest spots and another device for quick rinsing along the gums. Choose the method that lets you clean every side of every tooth, every day. Direct contact is best when precision is needed.
Combining Both Methods
Using a water flosser and string floss together can cover different trouble spots. The water flosser rinses along the gums and under edges, while string floss wipes sticky plaque off tight contacts. Many people do one daily and add the other a few days per week. Choose the mix that lets you clean every side of every tooth, consistently.
Picture this: after tacos, a leaf is wedged between two molars. Start with the water flosser to flush food and loosen soft plaque along the gumline. Then use string to slide through the tight contact and wipe each tooth side with a gentle “C” shape. This sequence pairs broad rinsing with targeted scraping, which is helpful if your contacts are snug yet your gums are a bit tender.
If you have dental work, combining methods can make cleaning simpler. Around fixed retainers, bridges, or full-arch implant bridges, the water flosser can reach under connectors where thread is slow to pass. Follow with threaded floss or a floss holder to polish the sides of the anchor teeth. For patients maintaining large implant restorations, see our notes on caring for full-arch implant bridges.
People with partial dentures often benefit from both tools. Use the water flosser to rinse around clasps and under the base, then use floss around the natural teeth that support the denture to remove sticky biofilm. If you are new to these appliances, our guide to keeping partial dentures and abutment teeth clean can help you plan a routine.
Make the routine fit your day. Some do a quick, full-mouth water floss in the morning and precise string floss at night. Others reverse the order. Keep the water setting comfortable, trace slowly, and pause between teeth. Use the lightest string pressure that still wipes the tooth surface clean. In the water flosser vs string floss question, combining tools can improve coverage without adding much time. Small, steady habits protect gums and contacts.
Proper Technique for Water Flossers
Fill the reservoir with lukewarm water, lean over the sink, and place the tip in your mouth before turning the unit on. Start on a low setting, keep your lips gently closed to limit splashing, and trace slowly along the gumline. Pause briefly between teeth, then sweep around the back molars. A steady, gentle pass is better than high pressure in a hurry.
Picture this: two minutes before bed, you want a quick, thorough clean. Begin at the back tooth and follow the gumline, keeping the stream aimed where the tooth and gum meet. Hold the tip close, but not pressed into the tissue. Glide along each side, pause between teeth for one to two seconds, then move on. Breathe through your nose and let water spill freely from the corner of your mouth into the sink.
Angle matters for good results. For everyday cleaning, aim the jet at about a right angle to the tooth surface, so the flow sweeps across the sulcus and dislodges soft plaque. If your gums are tender, stay on low and slow; comfort helps you be consistent. With braces, trace above and below the brackets. Around bridges and under connectors, sweep from several directions so water reaches hidden ledges.
Implants and sensitive areas deserve a light touch. Circle the abutment, pause on each side, and avoid forcing the tip under the gum. If a clinician has given you a soft subgingival tip, use it at the lowest setting as instructed. You can water floss before or after brushing. If you prefer to keep more toothpaste fluoride on the teeth, water floss first, then brush and spit without rinsing hard.
Common trouble signs are easy to fix. If water sprays everywhere, place the tip in your mouth before starting and keep lips mostly closed. If you feel stinging, turn the pressure down and slow your pace. In the water flosser vs string floss discussion, proper technique makes either tool work better. Aim for a calm, complete pass along every gumline, every day.
Proper Technique for String Floss
Use a piece of floss long enough to wrap around your fingers with a short working section. Slide the floss gently between two teeth, curve it into a “C” against one tooth, and wipe from the gumline up. Repeat on the neighbor tooth, using clean floss as you go. Move tooth by tooth until you have cleaned every contact.
At the mirror tonight, you feel something tight between two teeth. Guide the floss in with a light seesaw motion so it slips through without snapping. Hug the side of the first tooth, then sweep up and down several times, reaching just under the gum edge where soft plaque hides. Shift the “C” to the other tooth and repeat. Keep your wrist relaxed so the floss stays in contact with the tooth, not the gum.
Pressure control protects the gums. Do not force the floss straight down; that can cut the papilla. Instead, press the strand sideways against the tooth, then move it vertically with short, smooth strokes. If a contact feels very tight, slow down and use a smaller entry angle to avoid fraying. Rinse or wipe the floss as it picks up debris so you are not moving plaque to the next space.
Technique can be adapted for different mouths. Floss picks and holders use the same “C” and wiping motion if reach is limited. Threaders help you pass floss under fixed retainers and bridges so you can still wrap and clean each anchor tooth. You can floss before or after brushing; many prefer before, then leave a thin film of fluoride after brushing by spitting, not hard rinsing.
Common trouble signs have simple fixes. If floss shreds or catches in the same spot, the surface may be rough and worth a quick check at your next visit. If gums bleed, use a lighter touch and stay consistent for a week to see improvement. In the water flosser vs string floss discussion, careful string technique gives precise cleaning in tight contacts. Clean every side of every tooth, every day.
Tips for Effective Flossing
Floss once daily, using a gentle, thorough method you can repeat every day. With string, slide between teeth, wrap into a “C,” and wipe each side from the gumline up. With a water flosser, start on low, trace the gumline slowly, and pause briefly between teeth. Pick the time of day you are most consistent.
Real-world moment: after dinner, one spot still feels not-quite-clean. For string, use a piece long enough to keep a clean section as you go. Ease through tight contacts with a light seesaw motion, never snapping down. Hug one tooth, wipe up and down several times, then switch and clean the neighbor. For a water flosser, place the tip in your mouth before turning it on, keep lips mostly closed, and let water spill gently while you sweep along every gumline.
Pressure control protects gums and improves results. Press floss sideways against the tooth before moving it, and avoid cutting the papilla. With water, lukewarm temperature and a lower setting help comfort, which supports consistency. If you have braces, fixed retainers, or bridges, pass threaded floss where you can wrap a tooth, and use the water flosser to rinse under wires and connectors. If floss shreds or catches in one spot, mention it at your next visit so we can check for a rough edge or tartar.
Small habits make a big difference. Keep floss where you will see it, and leave the water flosser filled and ready. Many people like to floss before brushing so loosened plaque can be brushed away, but either order is fine if you are thorough. In the water flosser vs string floss question, technique and consistency matter more than the tool. Choose the method that lets you clean every side of every tooth, every day.
Myths About Flossing
Several myths make flossing harder than it needs to be. Flossing, whether with water or string, does not make teeth loose or create gaps. It removes soft plaque and food where a toothbrush cannot reach. The best method is the one you can do gently and consistently.
At a family gathering, someone says flossing makes gums recede. What you often see is swollen gums shrinking back to a healthier shape after plaque is removed, not the tooth moving. If gums bleed at first, it usually means they are inflamed, not that flossing is harmful. Light, daily cleaning lets the tissue calm down and bleed less over time.
Another myth is that water flossers push bacteria deeper under the gum. Used properly at a comfortable setting, they sweep along the gumline and out of the spaces between teeth. They help rinse debris and disturb soft plaque, which supports healthier gums. In the water flosser vs string floss question, both can work well when technique is gentle and thorough.
People also hear that only one “right” tool exists. Mouths differ. Tight contacts may favor string because it can slide through and wrap the tooth wall. Braces, bridges, and implants often favor water because it flows around hardware without threading. You do not need to choose forever; many people use one most days and the other when a spot needs extra attention.
Order is another common worry. You can clean between teeth before or after brushing. Some prefer to water floss first to rinse food, then brush and spit without hard rinsing so a thin fluoride film stays on the teeth. Others like to string floss after brushing for a final wipe. Pick the sequence that helps you be consistent without rushing.
Finally, flossing should not hurt. If it stings, lower the pressure on a water flosser or slow the string and hug the tooth, not the gum. If a spot always snags or bleeds, mention it at your next visit so we can check for a rough edge or tartar. Up next, we outline simple techniques that make both tools comfortable and effective.
Simple, gentle daily cleaning beats any perfect tool used rarely.
Frequently Asked Questions
Here are quick answers to common questions people have about Water Flossers vs. String: What Works Best? in Glendale, AZ.
- Can water flossers reduce gum disease?
Water flossers can disrupt plaque that accumulates along the gumline, which may help reduce the risk of gum disease. By removing food particles and soft plaque, water flossers promote healthier gums. They can be especially useful for individuals with braces, bridges, or other dental hardware. Consistent use as part of a daily routine, along with regular brushing, can help maintain oral health. Although research on direct impact may vary, many users report less gum bleeding and tenderness with regular use of water flossers.
- What are the benefits of string floss?
String floss excels in removing plaque and debris from tight spaces between teeth where other tools may not reach effectively. It’s portable and does not require power, making it convenient for travel. String floss allows for direct contact with the tooth surface, enabling precise cleaning. Users find it useful for receiving quick feedback on dental issues, like rough edges or tartar, when the floss frays or catches. For those who appreciate tactile feedback and precision, string floss offers a simple yet effective cleaning method.
- Is combining water flossing and string flossing more effective?
Combining water flossing and string flossing can provide a comprehensive clean. Water flossers are excellent for rinsing along the gums and flushing out larger debris, while string floss excels at scraping plaque off tight contacts. By using both methods, you can address different problem areas in the mouth, potentially leading to better overall oral hygiene. Some people prefer to use a water flosser daily and string floss a few times a week to achieve consistent, thorough cleaning.
- Can water flossers cause gum damage?
When used properly, water flossers should not damage gums. They use a gentle stream of water to clean around the gumline and between teeth. It’s important to start on a low setting and gradually increase intensity only if it feels comfortable. If you experience persistent discomfort or bleeding, it might be a sign to adjust the pressure or consult with a dental professional. Following the manufacturer’s instructions ensures safe and effective use of your water flosser.
- Is string floss better for tight spaces?
Yes, string floss is often better suited for cleaning tight spaces between teeth. Its thin, flexible nature allows it to slide between closely set teeth and effectively scrape away plaque. The ability to wrap the floss around each tooth lets users clean the entire side surface, reaching areas that might be more challenging for other tools. For individuals with very tight dental contacts, string floss provides the precision needed to maintain optimal oral hygiene.
References
- [1] The effectiveness of water jet flossing and interdental flossing for oral hygiene in orthodontic patients with fixed appliances: a randomized clinical trial. (2024) — PubMed:38678246 / DOI: 10.1186/s12903-024-04166-0
- [2] Efficacy of a water flosser compared to an interdental brush on gingival bleeding and gingival abrasion: A 4 week randomized controlled trial. (2025) — PubMed:38997790 / DOI: 10.1111/idh.12817
- [3] Comparing the effectiveness of water flosser and dental floss in plaque reduction among adults: A systematic review. (2023) — PubMed:38434511 / DOI: 10.4103/jisp.jisp_597_22


