Patients are often curious about the kinds of x-rays we take, and how we use them. FMX, pano, PA, bitewing, ceph, CBCT, these are various types of dental radiographs, known commonly as x-rays. There are tradeoffs with each kind of x-ray. The larger the area, usually the worse the resolution. So, for x-rays that capture a large area, they may not allow us to see smaller details like cavities. In some situations we may want a big picture view to plan something big like a full-mouth implant overdenture case. When looking for the tiny canals inside a tooth to complete a root canal, we may want to take an x-ray that captures a much smaller area with increased definition.
The Full-Mouth X-ray, or FMX, offers a good compromise between fine detail and big picture. The FMX is a series of 18 x-rays. Each x-ray offers a high definition view of a part of your mouth, and by putting all 18 images together we can see the entire mouth in one image study.
Do I Need an FMX?
Not every dentist uses FMX in their daily practice. Some dentists take a limited x-ray series and then supplement that with a panoramic x-ray. In most cases this offers similar diagnostic value to an FMX. Whether or not you need an FMX is up to your dentist.
Most dental insurance will cover periodic FMX, though the time that must pass between each FMX varies with each insurance provider. In most cases, dental insurance will not cover both an FMX and a panoramic x-ray. Some dentists will still take both so they can get more diagnostic information. Some patients have difficulty with FMX because they have a strong gag reflex. Wisdom teeth can be difficult to capture with an FMX, so we often take a panoramic x-ray to see them.

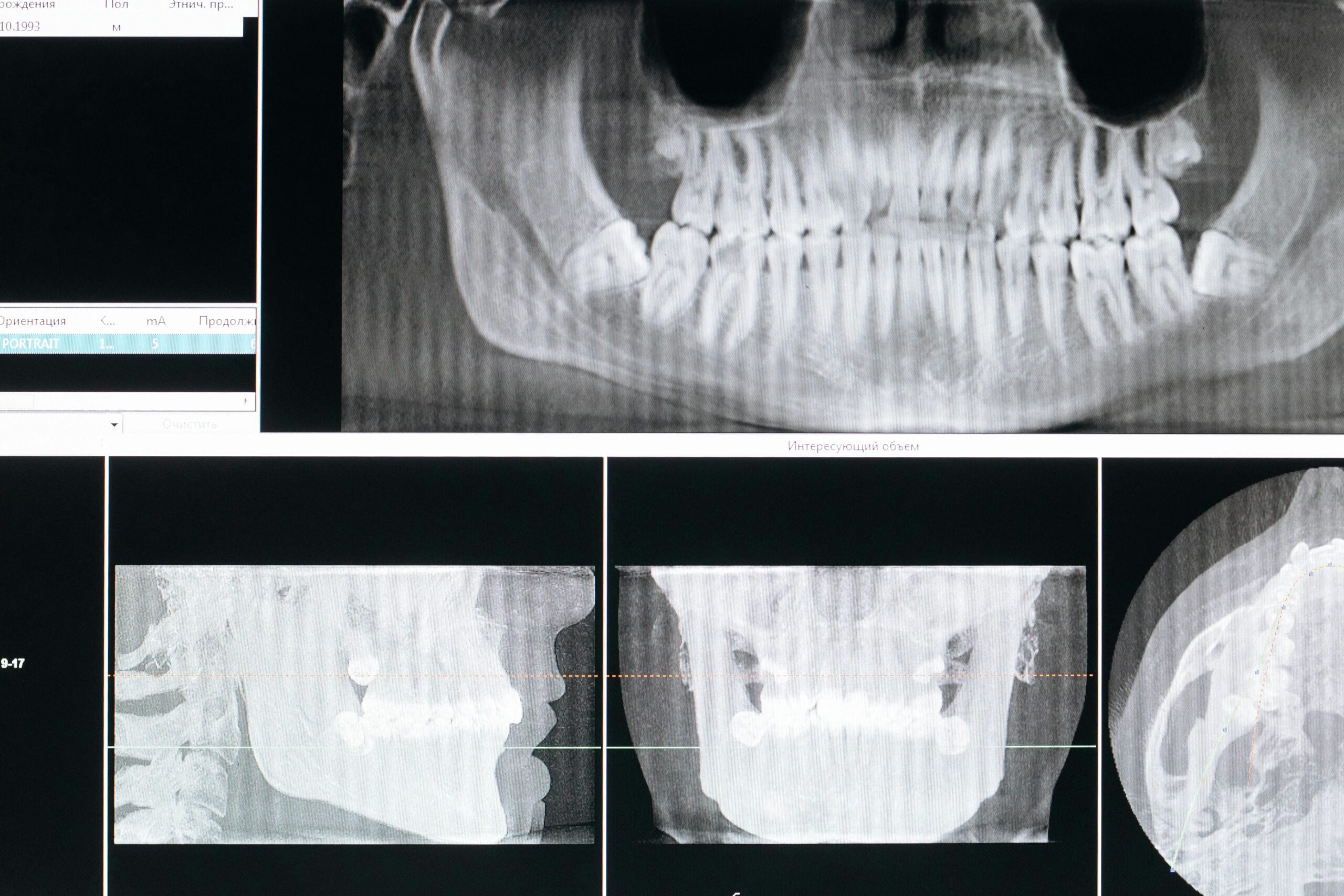
Data Collection is Key
My team knows that I expect to see every part of every tooth. For me to render a complete and accurate diagnosis, I need as much data as possible. Missing x-rays, or not taking x-rays of the entire tooth means I can’t see everything and I could miss a diagnosis.

The above patient x-rays were taken for a doctor who worked in my office back in 2019. To the untrained eye, they look like any other dental x-ray, below I will highlight a couple of important deficiencies:

The areas I have circled in red are incomplete. The dentist in 2019 would have been unable to see what was going on with the teeth in the areas I circled. Let’s look at an older series of x-rays for the same patient but dated back in 2017:

X-Rays from 2017
These 2017 x-rays captured more information than the ones in 2019. Importantly, they captured an abscess on one of the patient’s teeth. I have circled the abscess in the image below, it looks like a dark spot on top of the tooth. This is important, because it will come up again later.

Hopefully, this demonstrates the importance of gathering as much information as possible. Unfortunately for this patient, the abscess that was seen back in 2017 was not treated. Had a subsequent x-ray in 2018 or 2019 shown that abscess, something might have been done about it.
The Value of an FMX
As we’ve seen, getting as much information as possible is critical to rendering a complete diagnosis. Naturally, we can’t diagnose what we can’t see, so it is important that we image the entirety of every tooth. In most cases, nothing accomplishes this better than an FMX. Below is an image of the same patient as before, this time we took an FMX.

Many things are now visible that hadn’t been seen in any of the previous x-rays over the last 5 years. Most importantly, this patient has advanced periodontitis, with several teeth in need of extraction. This patient came in for some fillings. Imagine his surprise when I explained the need to remove teeth and give him some form of denture in the future.
Naturally, patients are skeptical when they are given news that drastically affects their treatment plan from one doctor to the next. Unfortunately, patients often mistake dentists who under-diagnosis as honest and fair. “Well, my previous dentist never told me that was a problem,” is something I hear often. The problem though, is that the philosophy of watching problems get worse, or simply missing problems entirely, often means treatment becomes more complex, painful, and expensive in the future. We want to identify and treat problems early, before they become big.
Unfortunately, my patient’s problems have probably been developing for years. Had they been caught earlier, it is possible we may have had more options that were less invasive. Now, we are facing a more complex and expensive treatment plan.
Spotting Problems

In the image above, I’ve marked the patient’s current bone level in red. The blue line is an approximation of where the bone level is supposed to be. As you can see, he has lost bone everywhere, but the top left is particularly bad.
This patient’s bone loss was probably from a combination of factors which are beyond the scope of this article. Naturally, with so much damage to the supporting bone, many of his teeth were quite loose. The patient was well aware of his loose teeth, but none of his previous dentists had identified the cause. Of course they hadn’t, they didn’t have the images they needed to see the problem!
Missing Diagnoses
Remember the abscess I mentioned earlier? It was first imaged in 2017, then it was missed in 2018 and 2019. The patient wasn’t seen in 2020 due to COVID. By the time we saw him again, it was 2022. This offers us the opportunity to see the progression of an abscess over time.




In the images above I have outlined the root of the tooth in green. The abscess is outlined in red. Remember that these are a 2-dimensional representation of a 3-dimensional area. From these images you can appreciate that the abscess has grown from 2017 to 2022.
This is a great example of how long an infection can persist on a tooth without the patient knowing. This is why it is so important that we visualize everything to find problems that can only be found on x-ray. Although the kind of x-ray we use may vary with the situation, the FMX is a tried-and-true method of seeing the entire mouth in high definition.
Types of X-ray
Below is a table of the commonly used dental x-rays and their uses.
| X-ray Type | Common Uses |
|---|---|
| FMX | New patient / comprehensive exams |
| Periapical (PA) | Tooth pain, root canal, periodic exams |
| Bitewing (BW) | Crown seating, periodic exams, deep cleaning (SRP) |
| Panoramic | TMJ assessment, wisdom tooth evaluation, comprehensive exam, pediatric exam, implants, orthodontics |
| Cephalometric | Orthodontics, airway evaluation |
| CBCT | Implants, orthodontics, airway evaluation, TMJ assessment, sinus assessment, root canals, enhanced visualization |


